The kidneys perform the essential function of removing waste products from the blood and regulating the water fluid levels. The diagram below shows the basic structure of the kidney.
The kidneys receive blood through the renal artery. The blood is passed through the structure of the kidneys called nephrons, where waste products and excess water pass out of the blood stream, as shown in the diagram below.

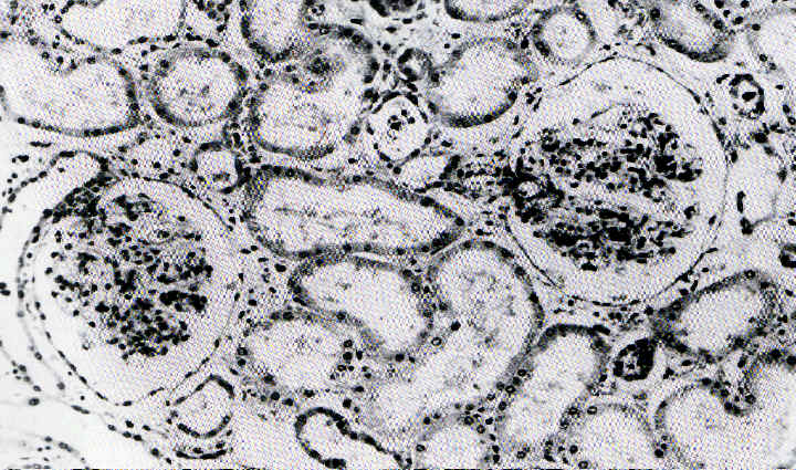
When the venom induces clotting, the fibrin is deposited in the tubules. As the tubules are blocked, the kidneys are not able to remove the same amount of waste products from the blood, and urea and cretinine begin to accumulate in the blood. If these chemicals are not removed, the concentrations become lethal.
When the kidneys are not functional, dialysis becomes necessary to save the victim. In dialysis, the blood passes through an external membrane which allows waste products from the blood to pass out of the blood and into the dialysis fluid. Because of the rate of buildup of the waste products, it may be necessary to perform dialysis as many as 3 times per week.

Ammonia is neurotoxic. Marked brain damage is seen in cases of failure to to eliminate urea through the kidneys. The result of either of this event is a buildup of circulating levels of ammonium ion. Aside from its effect on blood pH, ammonia readily traverses the brain blood barrier and in the brain is converted to glutamate via glutamate dehydrogenase, depleting the brain of a-ketoglutarate. As the a-ketoglutarate is depleted, oxaloacetate falls correspondingly, and ultimately TCA cycle activity comes to a halt. In the absence of aerobic oxidative phosphorylation and TCA cycle activity, irreparable cell damage and neural cell death ensue. In addition, the increased glutamate leads to glutamine formation. This depletes glutamate stores which are needed in neural tissue since glutamate is both a neurotransmitter and a precursor for the synthesis of g-aminobutyrate, GABA, another neurotransmitter. Therefore, reductions in brain glutamate affect energy production as well as neurotransmission. [12]
